AI技術を活用した胸部X線診断補助ソフトを導入しました。
2024年10月より、予防医療センターでは胸部X線画像病変検出ソフトである富士フィルム社製『CXR-AID』の運用を開始しました。
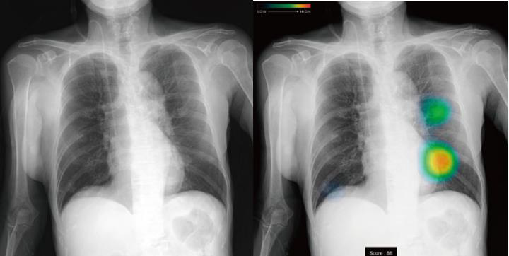
CXR-AIDとは?
〇AI技術を活用して胸部X線(レントゲン)画像を解析し、病変を検出するソフトです。

上記画像のように、病変が疑わしい箇所にはヒートマップが表示されます。
AIの確信度に応じて色合いが変わり、病変がある確率が高いほど赤い表示がされるため、視覚的にも非常にわかりやすくなっています。
当施設ではこのソフトによる補助診断に加え、医師による画像診断も行われるため、肺疾患をより早期に、より確実に発見をすることが可能となりました。